Notícias
Pesquisadores da UFPB criam dispositivo para prevenir fluorose dentária em crianças
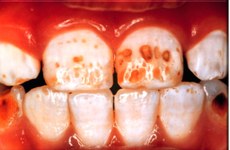
Pesquisadores da Universidade Federal da Paraíba (UFPB) criaram um dispositivo para prevenir fluorose dentária em crianças, que consiste em manchas causadas pelo excesso de flúor no esmalte dos dentes.
Esse problema odontológico só ocorre quando o dente está em formação. Por isso, crianças com idade até sete anos integram o grupo de risco. A inovação da UFPB poderá beneficiar as que vivem, por exemplo, no Alto Sertão paraibano e que consomem água de poços artesianos com alta concentração de flúor.
A patente da UFPB funciona por meio da remoção do excesso de flúor em água armazenada em filtro de barro. O protótipo de modelo de sistema hidráulico controla o volume de água bruta rica em flúor, em contato com o material adsorvente, capaz de efetuar a adesão de moléculas do fluido à superfície sólida.
Na prática, é um equipamento acoplado entre a parte superior do filtro de barro, onde é colocada a água bruta, e a parte inferior, onde fica a água filtrada. Dessa forma, toda a água que está na parte superior do filtro necessariamente passa um determinado período de tempo suficiente para remover o flúor, com o auxílio desse sistema intermediário.
O professor do Programa de Pós-graduação em Odontologia da UFPB e um dos inventores da patente, Fábio Sampaio, ressalta que, ao ferver a água para colocar no filtro, o flúor não é eliminado, visto que o ponto de ebulição dos fluoretos, particularmente o fluoreto de sódio, é acima dos 900 graus. Do mesmo modo, a vela do filtro é muito eficaz para reter sujidades e até bactérias da água, mas não remove o flúor.
De acordo com o docente, a Paraíba tem uma situação geoquímica particular na região do Alto Sertão. Diversos municípios e, em particular, o município de São João do Rio do Peixe, próximo à cidade de Cajazeiras, apresenta poços artesianos com elevados teores naturais de flúor na água.
Na localidade, as concentrações de flúor geralmente vão de 3,5 a 6,0 mg/L, chegando a dez vezes acima do valor máximo permitido pela legislação brasileira para águas potáveis, que é de 1,5 mg/L.
“A única forma de prevenir a fluorose é reduzindo a ingestão de flúor. Como a principal fonte de ingestão de flúor é a água, para essa população, um filtro desfluoretador é fundamental”, afirma Fábio Sampaio.
O professor da UFPB destaca que o processo inverso, a fluoretação da água, é uma técnica que beneficia diversas cidades brasileiras. “Trata-se de uma intervenção do homem que coloca deliberadamente flúor em torno de 0,7 mg/L para redução de cárie dentária”, explica.
Fábio Sampaio conta que todas as cidades brasileiras com fluoretação artificial da água têm 40% a menos de cárie, quando comparadas a cidades que não têm fluoretação.
“Não pretendemos substituir as famosas “velas” do filtro de barro, mas, sim, acoplar uma unidade filtrante que tem a função de reduzir as concentrações de flúor, permitindo atingir níveis ideais para redução da cárie, com o mínimo de fluorose”.
O docente da UFPB pontua que o flúor em concentração correta na água e nos cremes dentais é fundamental para controle da cárie. “Toda água tem algum teor de flúor, por exemplo, em João Pessoa, a água tem em torno de 0,2 mg/L de flúor. Se tivéssemos a fluoretação de águas, o sistema apenas ajustaria para 0,7 mg/L”.
Mais vida útil e novas aplicações
Os testes e protótipo foram desenvolvidos no Núcleo de Estudos e Pesquisas Interdisciplinares em Biomateriais (Nepibio), no Centro de Ciências da Saúde (CCS), no campus I da UFPB, em João Pessoa.
Neste momento, um dos pesquisadores da equipe, Carlos Christiano, está testando um pré-filtro ou filtro de sacrifício usando carvão ativado proveniente da casca de coco, para tentar prolongar o uso da unidade filtrante.
No casquete, a unidade fica saturada e sem função entre 30 e 40 dias. “Nós acreditamos que, introduzindo um pré-filtro, poderemos prolongar para três ou quatro meses, permitindo uma vida útil de até um ano”, revela Fábio Sampaio.
“O filtro foi desenvolvido para remoção de flúor, mas, se fizermos uso de outros materiais adsorventes, podemos melhorar a qualidade da água em locais contaminados por metais pesados ou por outros elementos químicos igualmente contaminantes, a exemplo do Arsênio”.
Conforme Fábio Sampaio, essa invenção pode ser particularmente importante em locais onde há desastres ambientais que resultam em águas poluídas e impróprias para consumo humano. “Na Paraíba, estimamos que 15 mil pessoas façam uso de água com excesso de flúor. A questão de fluorose é mais severa na África e Ásia, onde milhares de pessoas seriam beneficiadas”.
Com relação aos próximos passos da pesquisa, ele relata que são necessários estudos em batelada, para confirmar os modelos experimentais de adsorção. “Nossa invenção tem potencial de mercado, mas a maioria dos testes foi em laboratório. Precisamos fazer testes em campo, com águas em diferentes condições de pH, temperatura e contaminantes diversos”.
Integram a equipe de inventores os pesquisadores Morgana Gadelha, Raimundo Menezes Júnior, Giancarlo Brandão de Sousa, Nickson Lourenço e Jailson Ferreira, do Instituto Federal da Paraíba (IFPB), que foi o responsável pelas análises químicas do material adsorvente.
O trabalho foi financiado pelo Conselho Nacional de Desenvolvimento Científico e Tecnológico (CNPq), com apoio da UFPB, do Laboratório de águas da Fundação Nacional da Saúde (Funasa) da Paraíba, coordenado por Rosimere Farias, e do Laboratório Interdisciplinar de Caracterização e Desenvolvimento de Nanomateriais (Lanano) do IFPB. Interessados na patente devem entrar em contato pelos e-mails fabios@ccs.ufpb.br e fcsampa@gmail.com.
* * *
Reportagem e Edição: Pedro Paz
Ascom/UFPB
